Especialidade
Periodontia
A especialidade que cuida da saúde da sua gengiva
Você está sofrendo com gengivite, periodontite ou problemas estéticos na sua gengiva? A periodontia é a especialidade certa para cuidar dessas e outras condições que possam afetar a saúde dos tecidos de sustentação dos dentes.
A Clínica Odontológica Mavsa é uma clínica multidisciplinar de altíssimo padrão, que conta com atendimento especializado em periodontia. Somos referência em abordagem humanizadas e serviços de excelência na cidade de Campinas.
O que é Periodontia?
A periodontia é uma especialidade da odontologia que tem com responsabilidade o estudo, diagnóstico e tratamento das mais variadas condições que possam afetar os tecidos de sustentação dos dentes – como gengiva, cemento e osso alveolar.
Além de tratar doenças como gengivite e periodontite, o dentista especializado nesta área, conhecido como periodontista, também pode cuidar de problemas relacionados à estética da gengiva, como sorriso e retração gengival, ou colaborar em outros tratamentos, como no processo de instalação dos implantes dentários.
Como funciona o tratamento na periodontia?
O tratamento na periodontia é um processo abrangente que envolve várias etapas e abordagens, dependendo da gravidade da condição do paciente. As doenças periodontais mais comuns são a gengivite e a periodontite, sendo a última mais grave e podendo levar à perda dentária se não for tratada adequadamente.
Um dos métodos mais utilizados é a raspagem e o alisamento radicular, um tratamento básico e comum para a gengivite e periodontite, que envolve a remoção de placa bacteriana e tártaro das superfícies dos dentes e raízes.
Dependendo da gravidade do problema, o periodontista também pode prescrever medicamentos antibióticos e antissépticos bucais de uso próprio para combater quadros de infecção na gengiva. Essa medida é extremamente importante para evitar complicações mais sérias, como a endocardite – que pode ser causada quando bactérias presentes na boca se infiltram na corrente sanguínea.
Para casos mais avançados das doenças periodontais, pode ser necessário levantar um retalho da gengiva para acessar e limpar melhor as raízes dos dentes e o osso. Nessas situações, o periodontista também pode indicar procedimentos para recuperar a estética da gengiva, como o uso de enxertos para recuperar a massa do osso alveolar e do tecido perdido.
Ainda na parte estética, a periodontia também pode atuar com procedimentos que ajudam a reestabelecer ou corrigir defeitos na aparência da gengiva. Existem diversas abordagens que podem ser utilizadas nesse aspecto, como a gengivectomia ou o uso de toxina botulínica para cuidar do sorriso gengival.
Você está a procura de um tratamento para a estética da sua gengiva? Neste caso, indicamos que você acesse a nossa página dedicada à cirurgia plástica gengival. Para isso, basta clicar no link abaixo e você será redirecionado para este conteúdo dedicado ao tema:
Quando devo procurar a periodontia?
Uma das dúvidas mais comuns do grande público é saber qual o momento ideal para consultar um periodontistas. Nesses caso, a dica que damos é básica: sempre que notar qualquer alteração na aparência da gengiva ou sentir qualquer tipo de desconforto na região.
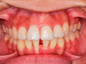
A doença periodontal começa com a gengivite, uma inflamação que, entre outras coisas, provoca sangramentos e mau hálito. Nesta fase, o tratamento é simples e o paciente pode resolver o problema sem grandes dificuldades.
Contudo, quando esse quadro não é tratado a tempo, ele pode evoluir para a periodontite. Essa é uma condição muito mais grave, que pode causar mobilidade nos dentes, infecções agudas e, em casos mais sérios, a perda dos dentes e do volume do osso alveolar (o que pode até mesmo inviabilizar o uso de implantes dentários.
Para facilitar, separamos alguns dos principais sintomas que mostram que há algo de errado com a saúde da sua gengiva e exigem atenção imediata por parte dos pacientes:
- Gengivas vermelhas ou escuras;
- Mau hálito persistente;
- Gosto ruim na boca;
- Sensação de dentes moles;
- Sangramentos ao escovar os dentes ou usar o fio dental;
- Inchaço e bolsas na gengiva;
- Presença de pus;
- Redução do tamanho da gengiva.
Caso você esteja em dúvida se precisa mesmo ou não consultar um periodontista, recomendamos que, antes de mais nada, visite um dentista clínico geral. Somente esse profissional poderá avaliar o seu caso e traçar uma estratégia assertiva para o seu tratamento. Para saber mais, acesse o link abaixo e confira mais sobre esse trabalho:
Agende sua consulta com um periodontista em Campinas
Precisa agendar uma consulta com um periodontista? A Clínica Odontológica Mavsa está de portas abertas para te ajudar! Somos uma clínica multidisciplinar de alto padrão, localizada em Campinas, que conta com atendimento especializado em periodontia, para cuidar da sua saúde e estética dental com primor.
Portanto, se você está sofrendo com gengivite ou periodontite, não espere o quadro ficar mais grave! Agende hoje mesmo uma avaliação em um dos nossos canais de atendimento e recupere a sua qualidade de vida em um lugar iluminado.